A técnica de watsu é um método constituído por alternância de posicionamento do paciente e também do terapeuta. O tratamento foi realizado na piscina terapêutica da Universidade Ibirapuera, aquecida a 34 graus celsius, com profundidade de115cm. Objetivo: Analisar as técnicas de watsu em portadores da fibromialgia(FM) em suas condições patológicas. Meodotologia: Foi realizado uma revisão baseada em artigos, livros, revistas científicas já publicados que tenham relação direta ao tema abordado. Resultados Esperados: Importância da aplicação de watsu para o tratamento de fibromialgia das mulheres jovens e adultas que tragam como resultados a melhora do quadro álgico.
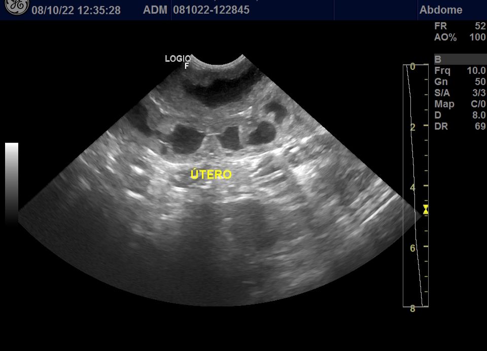
Continue readingA IMPORTÂNCIA DA ULTRASSONOGRAFIA NA ROTINA DA CLINICA VETERINÁRIA DE PEQUENOS ANIMAIS
A ultrassonografia na clínica veterinária surgiu para facilitar o diagnóstico de patologias ou não, identificar estruturas anatômicas dos pacientes caninos e felinos, machos e fêmeas, como também, animais de grande porte. Nesse contexto, o objetivo do trabalho é focar em uma ferramenta que é amplamente utilizada para avaliação da condição física, seleção genética, produção animal para o mercado consumidor, e é importante para o diagnóstico de doenças, bem como, delimitar o planejamento e o tratamento, assim sendo, quanto maior o conhecimento da interface, maior o efeito diagnóstico. O método trata-se de uma revisão literária. Os benefícios deste exame, são diversos, podendo evitar traumas desnecessários ao paciente ao realizar a ultrassonografia. Dessa forma, sabe-se que a ultrassonografia é de grande importância na clínica veterinária, facilitando a visualização através da análise anatômica e patológica dos pacientes em geral.
Continue readingSarcopenia como prevalência da incapacidade funcional do idoso e os efeitos da fisioterapia nesse processo- Revisão Integrativa
A Sarcopenia é conhecida como a perda de massa muscular relacionada ao processo natural de envelhecimento e é uma das alterações fisiológicas mais significativas associadas a esse processo. Os mecanismos responsáveis pelo desenvolvimento da Sarcopenia ainda não são totalmente compreendidos, mas sabe-se que alguns fatores como diminuição de níveis de hormônios esteroides, diminuição da ingestão proteica, aumento dos níveis de citocinas pró-inflamatórias e sedentarismo contribuem para esse processo. Essa perda de massa e força muscular, gera no idoso diminuição da mobilidade, aumento da incapacidade funcional e dependência de atividades, podendo inclusive acarretar consequências.
Continue readingDO USO TERAPÊUTICO AO USO INDISCRIMINADO DE METILFENIDATO POR ESTUDANTES
A revisão refere-se ao uso indiscriminado do psicoestimulante metilfenidato, com o objetivo de apresentar as manifestações do consumo do metilfenidato fora da sua indicação terapêutica, e os problemas graves à saúde. Trata-se de um estudo do tipo revisão integrativa da literatura. A sondagem dos artigos ocorreu a partir de algumas bases de dados e periódicos científicos, como Web of Science, Medline, BVS, PubMed e Scielo, no período de 2016 a 2022. A justificativa mais abordada pelos estudantes do uso indiscriminado do metilfenidato se trata da pressão social em relação ao desempenho acadêmico, devido a exigência da sociedade pelo aprimoramento acadêmico deixando os estudantes sem alternativas, recorrendo assim, ao “aprimorador cognitivo” no intuito de poder atingir essa demanda e toda competição incentivada. Nesse sentido, torna-se possível promover ações e estratégias mais adequadas para evitar ou minimizar efeitos de abuso e adição consequentes do uso indiscriminado desse medicamento.
Continue reading(A) EFEITOS POSITIVOS DA CRIOTERAPIA EM ATLES DE ALTO RENDIMENTO: REVISÃO DE LITERATURA
A crioterapia vêm sendo utilizada como uma ferramenta amiudada no tratamento de atletas alto rendimento. O objetivo deste estudo é analisar os efeitos da crioterapia nas lesões musculares em atletas, afim de saber se a utilização desta se mostrará eficaz no ganho de tempo e possui resultados positivos na recuperação. Foram estudadas diversas variações da técnica como imersão de corpo inteiro em água fria, massagens com gele, bolsas com gelo etc. A pesquisa foi realizada em bancos de dados utilizando artigos a partir de 2008. Dos artigos estudados 7 mostraram efeitos positivos da crioterapia. Mostrando assim a efetividade do método.
Continue readingA IMPORTÂNCIA DA UTILIZAÇÃO DE MÉTODOS DE BEM-ESTAR ANIMAL NA CRIAÇÃO DE OVINOS
O bem-estar animal (BEA) na ovinocultura se estabelece através das cinco liberdades, que garantem alimentação, hidratação, conforto, saúde e liberdade para expressar seu comportamento natural, mantendo assim sua homeostase, conseguindo enfrentar as situações impostas a eles para poder se comportar melhor em diferentes habitats, todavia se não respeitadas, pode restringir a qualidade de vida dos animais. Por isso esse tema cada vez mais discutido na área da produção animal e também pelos consumidores, nos indicadores de bem- estar servem como informações importantes para o sistema de produções e qualidades de ovinos e caprinos para melhor resultados de consumo humano, garantindo assim a segurança e conforto em relação ao homem, animal e meio ambiente. Nesta pesquisa utilizou-se a abordagem qualitativa através do estudo de indicadores de bem-estar em ovinos e caprinos para prevenir as enfermidades e garantir o BEA.
Continue readingIndicadores de bem-estar em aves de zoológico
Esse resumo expandido tem como objetivo ressaltar a necessidade de um enriquecimento ambiental adequado na criação de aves silvestres, para que assim, seja garantido o seu bem-estar. É de suma importância que tratadores, visitantes e profissionais da área estejam por dentro dos estudos e conhecimentos sobre o manejo correto de cada espécie aviária criada em cativeiro, uma vez que serão responsáveis pela percepção dos indicadores de bem-estar ou falta deles. Será apresentado de quais maneiras é possível garantir conforto e qualidade de vida no ambiente que as aves vivem dentro de zoológicos e o motivo de tal necessidade.
Continue readingPERFIL EPIDEMIOLOGICO DE INDIVIDUOS ADULTOS COM COVID-19 INTERNADO EM UMA UNIDADE DE TERAPIA INTENSIVA NO BRASIL; UMA REVISAO INTEGRATIVA DE LITERATURA
Coronavírus são RNA vírus causadores de inflamações respiratórias em diversidade de seres, englobando aves e mamíferos. Segundo Santana, Fontana e Pitta (2021) Sete coronavírus são reconhecidos como patógenos em humanos. Os coronavírus estão em geral associados a sintomas gripais. Nos últimos anos, 2 deles foram responsáveis por contágios mais virulentos de síndrome respiratória aguda grave (SRAG) Objetivo; Descrever o perfil epidemiológico de pacientes internados em unidade de terapia intensiva adulto no Brasil. Metodologia O presente trabalho trata-se de uma revisão integrativa de literatura, realizado por meio de artigos científicos e abordagem qualitativa. Resultados esperados; Espera-se que o presente estudo proporcione um melhor conhecimento sobre o perfil epidemiológico de indivíduos adultos com Covid-19 internado em uma unidade de terapia intensiva no Brasil, ampliando o conhecimento em relação as características populacionais dos pacientes internados e que venha enriquecer ainda mais o acervo literário sobre o tema escolhido.
Continue readingNICHOS DO COACHING
Nichos do Coaching, é uma organização complexa, para exercer nesta área profissional necessita-se de boas práticas, eficiências e ter ótimos resultados.
Nos termos que chamamos de nichos do coaching, podemos observar que existem diversas técnicas diferenciadas, entretanto, é um processo interativo e individual. Auxilia e suporta o individuo a despertar o seu potencial máximo rapidamente e produzir resultados mais satisfatórios em sua vida pessoal e profissional.
O Desenvolvimento na Gestão Hospitalar- Administração no Setor Público
Gestão Hospitalar , uma organização complexa, para exercer nesta área profissional necessita-se de boas práticas, eficiências e ter ótimos resultados. Nos termos administrativos, podemos observar que existem conflitos envolvendo as áreas técnicas e gerenciais, entretanto, existem aqueles que ainda se beneficiam de duas contribuições, e de seus cargos de confiança para obterem-se vantagens. No entanto por conta disto, a burocracia foi perdendo suas funções iniciais que é, orientar, organizar todos os trabalhos administrativos, dando origem ao que se chama disfunção burocrática.
Necessitamos focalizar nas práticas administrativas, para que possamos ter uma gestão da fácil dialogo interno e externo da repartição, para termos uma definição melhor dos processos no trabalho. Precisamos ter uma visão panorâmica e uma mente extensa e aberta, para as novas diretrizes exigidas pelas diretorias em reunião, mantendo-se atentos as mudanças globais, os avanços das tecnologias, o apoio nos processos gerenciais e finalmente para obter aplicação, metodológica, de gerenciamento na colaboração na gestão hospitalar.




